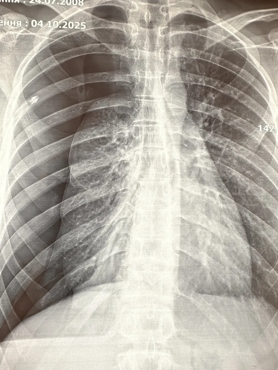
При обстеженні встановлено попередній діагноз — спонтанний пневмоторакс справа. Проведено дренування плевральної порожнини, але в динаміці ефекту в лікуванні не було. Про це на Фейсбук-сторінці написав генеральний директор лікарні Тарас Мельник.
При дообстеженні встановлено діагноз: бульозна хвороба правої легені, правобічний пневмоторакс.
Після цього вперше в ОДКЛ провели малоінвазивну операцію — торакоскопічну резекцію ураженого сегменту правої легені. Оперативне втручання провела команда у складі хірурга Ореста Бориса, хірурга І ТМО міста Львова Андрія Дворакевича та анестезіолога Андріани Гончар.
"Завдяки злагодженій роботі анестезіологічного і хірургічного відділень на 10 добу в задовільному стані пацієнта виписано додому", — йдеться в повідомленні.

Довідка. Бульозна хвороба правої легені — це різновид бульозної емфіземи, що характеризується утворенням повітряних порожнин (бул) у легені. Ці булли стискають здорову тканину легені, що призводить до погіршення газообміну та дихальної функції. Симптоми можуть включати задишку, кашель, біль у грудях, а найнебезпечніше ускладнення — спонтанний пневмоторакс, коли булла розривається, і повітря потрапляє в плевральну порожнину, що вимагає невідкладної хірургічної допомоги.



